Right Here's What The Veneers Process Resembles
It typically takes 2-4 weeks for your dentist to obtain the veneers back from the research laboratory. Porcelain veneers are so named due to the fact that they are made from porcelain. Porcelain is a natural substance that is entirely non-toxic.
Do veneers make your breath smell?
If porcelain veneers aren't fitted properly, they can create small ledges around the veneer that allow for the accumulation of food particles and oral bacteria. This makes reservoir of oral bacteria that can then contribute to decay, gum disease, and, of course, foul smells.
Once it's decided you're a good candidate for porcelain veneers, it only takes about two sees to get them. Initially, you must see your Chandler cosmetic dental expert, Dr. Arooni. Evaluate your mouth and whether you are a great candidate. If you need any type of other dental job done, you will wish to do that initial.
How Do I Take Care Of My Veneers?
When patients really feel good regarding the look of their teeth, they are more likely to grin. Natural chemicals called endorphins are launched when you grin. Grinning consequently can raise your mood, social life, as well as even expert success.
Nonetheless, we such as to remind our younger individuals who wish to obtain prep-veneers that the procedure is long-term. When possible, Dr. Bobbi recommends that younger individuals get no-prep veneers, ideally.
That Is An Excellent Candidate For Veneers?
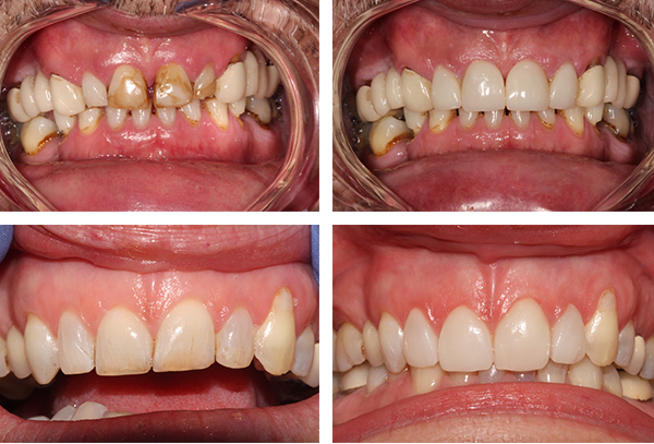
Make sure that the results look natural which the dentist supplies the veneer type the individual favors. Oral insurance coverage generally does not cover porcelain veneers given that they are identified as a type of aesthetic procedure. For instance, a person may get assistance from their insurance provider if the veneers can be confirmed to improve the individual's life top quality as well as wellness. Make a consultation with your dental expert to figure out if how do porcelain veneers get put on dental veneers are the ideal remedy for improving confidence in your smile. Your smile is among the first features that many people will notice. What takes place if a tooth requires some small treatment to make your smile shine? That's where an oral veneer can help to boost your smile.
What are the disadvantages of veneers?
The downside to dental veneers include:They're not reversible.

Veneers are not a good choice if you have gum disease, weak teeth, or other issues.
Veneers cost more than composite resin bonding.
Veneers usually can't be fixed if they chip or crack.
Your natural teeth may become more sensitive to hot and cold temperatures.
More items
Dr. Apa recommends asking your dental practitioner if he or she supplies a payment plan, because very few individuals can shell out that kind of cash money https://central.newschannelnebraska.com/story/43087733/gorham-ammarell-dentistry-offers-quality-dental-care-specialized-services at one time. Once you dedicate to your veneer plan and also find out the number of you need, a lot more molds, X-rays, as well as photos are taken. After you get your momentary partial or complete veneers fitted, you use them for seven to ten days.
What Is The Rate Of Veneers?

They are also extra transparent compared to conventional veneers. Before the individual making the decision, they will certainly reach see exactly how the porcelain veneers will look once they are in place via a mock-up. This may be done by means of three-dimensional computer photos or wax-ups, depending on the dental practitioner. Both give an accurate depiction of what the person can anticipate once their porcelain veneers are put on their teeth. It is generally recommended that patients seek a dental expert that takes an artistic approach to porcelain veneers. Clients can take a look at images of past individuals to make sure that the dental professional can supply what they want.
Porcelain is the way to go if what you're searching for is appearance.
What's more, porcelain is stain-resistant, which indicates never ever having to bother with bleaching.
Dr. Jason ChongIndirect veneers can be both momentary and definitive.
And for the two most common types of veneers, composite and porcelain, this is a lot.
Yet a considerable part of it does need to be filed down.
Last updated